Experience Durable, Natural-Looking Smile Restoration
with Zirconia Crowns & Bridges
At Dental Surgeons Clinic Lahore, we offer Zirconia crowns as a durable, tooth-colored solution for damaged or weakened teeth. Made from the strong, natural-looking material Zirconium Oxide, Zirconia crowns provide excellent strength for both front and back teeth, ensuring a custom fit with precise digital impressions.
In addition to crowns, we also specialize in dental bridges to replace missing teeth. Zirconia crowns are often used in bridges for their strength and natural appearance, helping restore both the function and aesthetics of your smile. Whether you need a traditional or cantilever bridge, Dr. Aamir Rafiq and his team ensure a comfortable experience and personalized solutions to restore the function and appearance of your smile.
The Ultimate Blend of Durability and Natural Beauty
Zirconia Crown
Zirconia crowns are durable, tooth-colored caps made from zirconium oxide, a strong, biocompatible material. They are used to restore damaged or weakened teeth, offering both exceptional strength and a natural appearance. Known for their resistance to wear and fracture, Zirconia crowns are ideal for both front and back teeth, providing a long-lasting, aesthetic solution for dental restorations.
Customized Solutions for Durability, Beauty, and Function
Discover the Best Dental Crown for Your Smile
PFM Crown
Zirconia Crown
EMAX Crown
Screw-Retained Crown
Metal Crown
The Ultimate Blend of Durability and Natural Beauty
Dental Bridges
Dental Bridges are a common restorative solution used to replace one or more missing teeth. They “bridge” the gap by using artificial teeth, supported by natural teeth or dental implants on either side of the gap. A dental bridge helps restore your smile, improve bite function, and prevent the shifting of surrounding teeth. This restoration is custom-made to match your natural teeth, ensuring both a functional and aesthetic result.
Customized Solutions for Durability, Beauty, and Function
Discover the Best Dental Crown for Your Smile
Traditional Bridge
Cantilever Bridge
Maryland Crown
Implant Supported Bridge
Benefits of Zirconia Crowns
- Exceptional Durability: Highly resistant to wear, fractures, and chipping.
- Natural Aesthetics: Mimics the translucency of natural teeth for a seamless look.
- Biocompatible: Gentle on gums with minimal risk of irritation or allergic reactions.
- Strong and Long-Lasting: Ideal for both front and back teeth, offering long-term protection.
- Stain-Resistant: Maintains its color and appearance over time.
- Minimal Tooth Reduction: Requires less removal of the natural tooth structure.
- Comfortable Fit: Custom-made for a precise, secure fit and enhanced comfort.
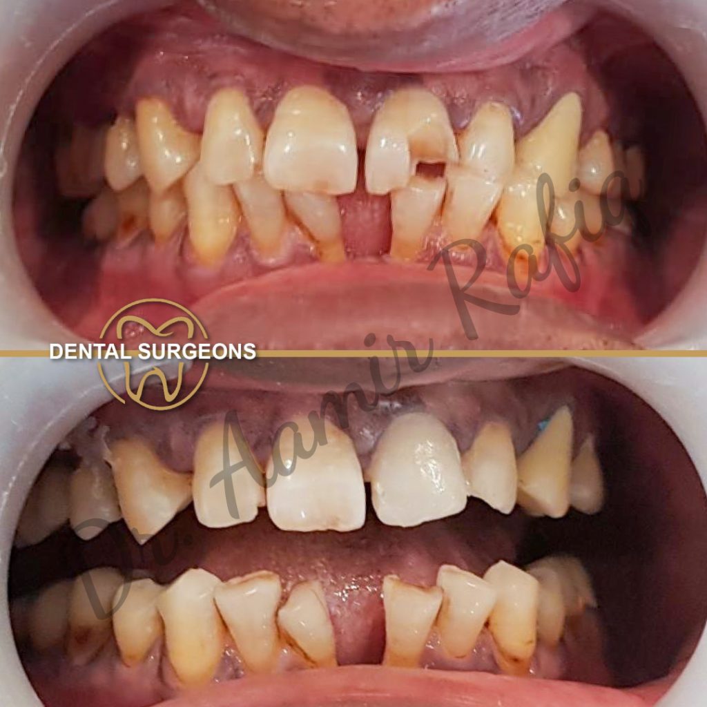
Witness the Remarkable Transformation
Discover the magic of Zirconia Crown
Restore Your Smile with Zirconia Crowns
The Zirconia Crown Journey
Our Experts Dr. Aamir Rafiq and Dr. Maryam Raza conducts a thorough exam to determine if a Zirconia crown is the best solution for your needs.
Precise digital scans or molds are taken, and the crown’s color is matched to your natural teeth to ensure seamless and aesthetic results.
Zirconia crown is carefully designed to fit your tooth's unique shape and size. The crown is then fabricated in our lab, using high-strength Zirconia material, that mimics the appearance of Natural Teeth.
While your permanent Zirconia crown is being created, a temporary crown is placed to protect the tooth and maintain function.
Once the permanent crown is ready, it is carefully placed and adjusted for optimal fit, comfort, and bite alignment. Dr. Aamir Rafiq and his team ensures that the crown feels natural and blends perfectly with your surrounding teeth.
After confirming the perfect fit and aesthetic, the Zirconia crown is permanently bonded to your tooth using a strong dental adhesive, ensuring long-lasting durability and protection.
Get the Facts on Strength, Longevity, and Aesthetics
Everything You Should Know About Zirconia Crowns
Zirconia crowns are known for their longevity. With proper care, they can last 10-15 years or more, making them a durable choice for tooth restoration.
Yes, Zirconia crowns are incredibly strong and can withstand significant chewing pressure, even in the back teeth. They offer strength comparable to metal crowns but with a more natural appearance.
Zirconia crowns are often considered stronger and more durable than traditional porcelain crowns, especially for back teeth or areas that experience high bite pressure. While porcelain offers excellent aesthetics, Zirconia provides a balance of both strength and natural appearance.
Yes, Zirconia crowns are designed to match the color and translucency of natural teeth, making them an excellent choice for both front and back teeth restorations.
Zirconia crowns are custom-made using advanced CAD/CAM technology. The process involves taking digital impressions of your tooth, designing the crown digitally, and then fabricating it from a solid block of Zirconia in a dental lab.
Yes, Zirconia is a biocompatible material, meaning it is well-tolerated by the body with minimal risk of allergic reactions or irritation, making it a safe choice for most patients.
Zirconia crowns require no special care beyond regular oral hygiene practices, including brushing and flossing. However, it's important to avoid habits like teeth grinding or chewing hard objects that can damage the crown.
Yes, Zirconia crowns are versatile and can be used for both anterior (front) and posterior (back) teeth, providing a strong and aesthetically pleasing solution for all areas of the mouth.
No, Zirconia crowns are highly stain-resistant. They maintain their color and appearance over time, even with exposure to staining foods and drinks like coffee or tea.
Zirconia crowns are typically more expensive than traditional porcelain or metal crowns due to the high-quality material and advanced technology used in their creation. However, their durability and natural appearance often make them a worthwhile investment.
Concerned About Your Dental Health and Wellness?
Book Your Visit Today and Start Your Journey to a Healthier Smile!
Experience exceptional dental care at Dental Surgeons Clinic, where advanced practices meet personalized attention. As the leading dental facility in Lahore, Our Skilled Dentists are dedicated to providing comprehensive care to ensure your smile is both healthy and radiant. Trust us to be your partner in achieving optimal dental health.
Copyrights © All Rights Reserved By Dental Surgeons
Designed By Techdrift Studio




